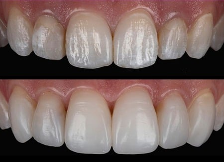
Composite bonding is one of the most popular cosmetic dental treatments we offer, and it’s easy to see why.
This simple, pain-free procedure can transform your smile in just one appointment.
Whether you need a quick fix for 1–2 teeth or a complete smile makeover, composite bonding offers a natural, long-lasting solution without the need for veneers or crowns.
Results
Immediate
Duration
1 - 3 Hours
Fee
From £295
A confident smile isn’t just about looks, it’s about how you feel. Protecting your natural teeth while enhancing your smile is just as important as the result itself.
That’s why composite bonding is such a popular choice. It transforms your teeth without unnecessary drilling or invasive procedures, letting you achieve the smile you’ve always wanted while keeping your enamel safe.
Using a tooth-coloured material carefully shaped to your teeth, bonding blends seamlessly with your smile. Whether it’s reshaping, repairing, or refining, the results look natural and feel like you only better.





Composite bonding is a straightforward procedure with no drilling, no injections, and no damage to your natural teeth.
We begin with a free consultation to understand your goals.
A tooth-coloured composite material is carefully applied and sculpted.
The material is hardened and polished for a natural finish.
You’ll leave with a new smile the very same day.
| Package | Price | Effective Cost (per tooth) | Result |
|---|---|---|---|
| 1 Tooth | £295 | £295 | Minor repairs or corrections |
| 4 Teeth | £1100 | £275 | Subtle enhancement of smile line |
| 6 Teeth | £1620 | £270 | Full front smile improvement |
| 8 Teeth | £2080 | £260 | Includes FREE Professional Teeth Whitening (£399 value) |
| 8+ Teeth | £260 Per Tooth | £260 | Every additional tooth beyond 8 is just £260 |
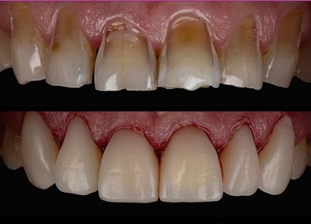
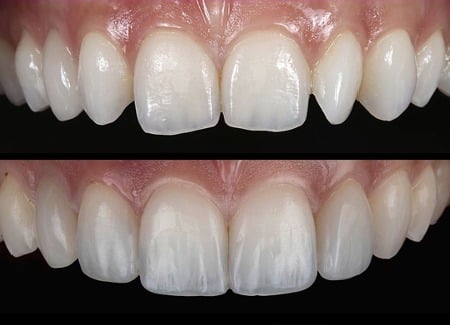
Composite bonding is a cosmetic dental treatment where a tooth-coloured resin material is applied to your teeth to improve their shape, size, or colour. The material is carefully sculpted, hardened with a special light, and polished so it blends seamlessly with your natural teeth.
It’s a quick, pain-free way to repair chips, close small gaps, or enhance your smile often completed in just one appointment, with no drilling or damage to your natural teeth.
Composite bonding is simple and minimally invasive.
Consultation – We discuss your goals and design your treatment plan.
Preparation – The tooth surface is gently cleaned; no drilling or injections are needed.
Bonding – A tooth-coloured composite resin is applied, carefully shaped, and sculpted to achieve the desired look.
Finishing – The material is hardened with a special light and polished for a natural, long-lasting shine.
Most treatments are completed in a single appointment, meaning you walk out with your new smile the same day.
Composite bonding works by applying a tooth-coloured resin directly onto the surface of your tooth. The dentist shapes the material to improve size, shape, or colour, then hardens it with a special light so it bonds securely to your tooth. Finally, it’s polished to blend naturally with your smile.
Because it’s applied directly to the tooth surface, there’s no drilling, no injections, and no damage to your natural enamel. The whole process is quick, comfortable, and can be completed in a single visit.
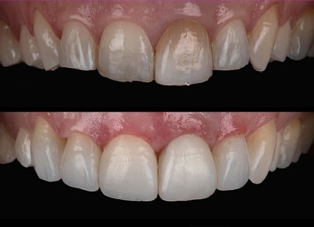
This treatment is beneficial for patients with aged teeth, general wear and tear, discoloured teeth, acid erosion, and Small/spaced teeth (see below). They can also improve the colour, shape, and position of teeth without any unnecessary drilling, achieving brilliant transformations!
Composite bonding is one of the most popular cosmetic treatments because it offers so many benefits:
Quick results – treatment is usually completed in a single appointment.
Pain-free – no drilling, no injections, and no damage to your natural enamel.
Natural look – the composite resin is colour-matched and polished to blend seamlessly with your teeth.
Versatile – ideal for repairing chips, closing small gaps, reshaping uneven teeth, or improving discolouration.
Affordable – at £295 per tooth, it’s a cost-effective alternative to veneers or crowns.
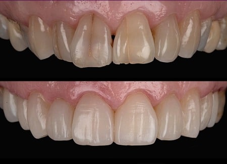
Yes, chipped teeth can be repaired by applying and sculpting tooth coloured resin. It can be done on a single tooth or on multiple teeth. It is essential to see your dentist for a chipped tooth as it will not heal on its own, and you should not try fixing it at home.
It is the safest and most affordable way to fix the gap between your teeth. We use a tooth coloured material (resin) to shape and sculpt around your tooth and bond it to close the gap between your teeth.
We almost always recommend composite bonding to people having Invisalign® to overcome any blemishes on their teeth and to shape their teeth after teeth straightening.
With good care, composite bonding can last 5–7 years on average, and sometimes longer. Its lifespan depends on factors like diet, oral hygiene, and habits such as nail-biting or grinding teeth.
To keep your bonding looking its best: Maintain regular brushing and flossing
Visit your dentist for routine check-ups and polishing
Avoid biting hard objects (ice, pens, fingernails)
Limit staining foods and drinks like coffee, tea, and red wine
If the bonding does chip or wear down over time, it can be easily repaired or refreshed without harming your natural teeth.
No, composite bonding is completely pain-free.
The treatment doesn’t involve any drilling or injections, and we don’t remove any healthy tooth enamel. The composite material is applied directly to the surface of your teeth, shaped, and then hardened with a special light.
Most patients describe the experience as comfortable and stress-free — and you’ll walk out with your new smile the very same day.
Direct access hygiene allows patients to receive dental hygiene services without a prescription.
At the time of the appointment, the patient signs a waiver acknowledging that direct access hygiene does not involve diagnosing treatment needs and is intended solely for soft tissue health and plaque control.
If the hygienist identifies any concerns, they will recommend that the patient schedule an appointment with a dentist.
Under this model, non-registered patients can visit a practice and receive hygiene services—often at a higher fee than registered private patients.